Trang chủ » Ứng Dụng Thổi Cát Trong Điều Trị Nha Chu: Giải Pháp Êm Ái Và Hiệu Quả Vượt Trội

Ứng Dụng Thổi Cát Trong Điều Trị Nha Chu: Giải Pháp Êm Ái Và Hiệu Quả Vượt Trội

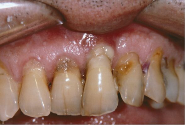
Bệnh nha chu (bệnh quanh răng) – tình trạng viêm nhiễm các tổ chức quanh răng – là nguyên nhân hàng đầu gây mất răng ở người trưởng thành. Chìa khóa của việc điều trị nha chu thành công nằm ở việc loại bỏ triệt để thủ phạm chính: màng sinh học vi khuẩn (biofilm).

Tại Nha Khoa Vàng, với tiêu chí điều trị dựa trên sự thấu cảm và chuyên môn chuẩn mực, chúng tôi ứng dụng công nghệ thổi cát (Air Polishing) như một phần của quy trình Guided Biofilm Therapy (GBT). Đây là một cuộc cách mạng giúp việc điều trị nha chu trở nên nhẹ nhàng, ít xâm lấn và đạt hiệu quả bảo tồn tối ưu.

Hình ảnh bệnh nhân bị cao răng, tụt lợi do viêm quanh răng gây nên

Thổi Cát Trong Điều Trị Nha Chu: Loại Bỏ Tận Gốc Màng Sinh Học

Trong điều trị truyền thống, việc lấy cao răng và làm sạch túi nha chu thường sử dụng các dụng cụ cầm tay (curettes) hoặc máy siêu âm. Tuy nhiên, các phương pháp này đôi khi khó tiếp cận các vị trí phức tạp như vùng chẽ chân răng hoặc các túi nha chu sâu.

Công nghệ thổi cát sử dụng các loại bột siêu mịn như Glycine hoặc Erythritol (kích thước hạt chỉ khoảng 14-25 microns) kết hợp với dòng nước và khí nén. Phương pháp này mang lại những ưu điểm lâm sàng đáng kinh ngạc:

  1. Làm sạch dưới nướu an toàn: Khác với bột Natri Bicarbonate truyền thống có thể gây kích ứng, bột Glycine cực kỳ êm dịu, cho phép bác sĩ làm sạch trực tiếp trong túi nha chu sâu mà không gây tổn thương mô nướu hay làm mòn bề mặt chân răng (Mensi et al., 2014).

  2. Tiếp cận mọi ngóc ngách: Dòng khí và bột có khả năng len lỏi vào những khu vực hẹp nhất, nơi các dụng cụ kim loại khó có thể làm sạch hoàn toàn màng sinh học vi khuẩn (Petersilka, 2011).

  3. Bảo tồn xê-măng chân răng: Việc lạm dụng dụng cụ cầm tay quá mức có thể làm mất đi lớp xê-măng (cementum) quý giá giúp răng bám chắc vào xương hàm. Thổi cát giúp bảo tồn tối đa lớp này, hỗ trợ quá trình tái lành thương nướu tốt hơn.

Tại Sao Thổi Cát Giúp Giảm Việc Bám Cao Răng Lại Nhanh Hơn?

Đây là thắc mắc của rất nhiều bệnh nhân: “Tại sao sau khi lấy cao răng truyền thống, tôi thấy răng nhanh bị bám lại, còn phương pháp thổi cát thì không?”. Câu trả lời nằm ở trạng thái của bề mặt răng sau khi điều trị:

1. Tạo ra bề mặt “siêu mịn” (Micro-smoothness): Các dụng cụ kim loại hoặc đầu siêu âm, dù sắc bén đến đâu, vẫn có thể để lại những vết xước siêu nhỏ (micro-scratches) trên bề mặt men răng và ngà răng. Những vết xước này đóng vai trò như những “mỏ neo” lý tưởng để vi khuẩn bám vào và tích tụ thành cao răng nhanh chóng. Ngược lại, công nghệ thổi cát với các hạt bột mịn có tác dụng như một quá trình đánh bóng siêu việt, làm mịn các nhấp nhô bề mặt, khiến mảng bám khó tìm được chỗ “trú chân” (Bühler et al., 2016).

2. Loại bỏ hoàn toàn màng sinh học (Biofilm): Cao răng thực chất là màng sinh học đã bị khoáng hóa bởi các khoáng chất trong nước bọt. Nếu màng sinh học ban đầu không được loại bỏ sạch 100% (đặc biệt là ở những vùng lõm, hẹp), nó sẽ đóng vai trò như một “khung xương” để cao răng hình thành cực nhanh. Thổi cát đảm bảo loại bỏ màng sinh học một cách toàn diện hơn ở mức độ tế bào, từ đó kéo dài thời gian răng sạch sẽ.

3. Giảm năng lượng bề mặt: Một bề mặt được đánh bóng mịn bằng công nghệ thổi cát sẽ có năng lượng bề mặt thấp hơn, làm giảm lực hút tĩnh điện giữa vi khuẩn và răng, khiến quá trình hình thành mảng bám diễn ra chậm hơn đáng kể so với phương pháp thông thường.

Hoghton Street Dental | Airflow Polishing Dental Hygiene Southport

Hình ảnh trước và sau lấy cao răng, thổi cát

Lời Khuyên Từ Chuyên Gia Tại Nha Khoa Vàng

Điều trị nha chu bằng thổi cát không chỉ là một thủ thuật thẩm mỹ; đó là một phương pháp trị liệu bảo tồn. Chúng tôi khuyên bệnh nhân, đặc biệt là những người có nướu nhạy cảm, đang điều trị viêm nha chu hoặc có răng Implant, nên ưu tiên công nghệ này.

Sự kết hợp giữa kiến thức chuyên sâu về giải phẫu răng miệng và công nghệ thổi cát hiện đại sẽ giúp bạn duy trì một hệ thống nha chu khỏe mạnh, ngăn ngừa mất răng và mang lại cảm giác dễ chịu nhất trong suốt quá trình điều trị.

Bs Tiến đang thổi cát cho bệnh nhân tại Nha Khoa Vàng


TÀI LIỆU THAM KHẢO

  • Bühler, J., et al. (2016). Surface roughness of dental materials after air polishing with different powders. Journal of Clinical Periodontology.

  • Mensi, M., et al. (2014). Comparison of subgingival polishing with combined ultrasonic device and air-polishing using glycine powder in periodontal maintenance. International Journal of Dental Hygiene.

  • Petersilka, G. J. (2011). Subgingival air-polishing in the treatment of periodontal inflammation: The evidence. Periodontology 2000.

  • Wennström, J. L., et al. (2011). Subgingival debridement of periodontal pockets by air polishing in comparison with ultrasonic instrumentation during maintenance therapy. Journal of Clinical Periodontology.


HASHTAGS

#điềutrịnha chu #thổicátnhakhoa #vêsinhrăngmiệng #caorăng #bộ tglycine #erythritol #GuidedBiofilmTherapy #sứckhoẻnướu #NhaKhoaVàng #nha_khoa_hiện_đại #bảotồnrăngthật

Bài viết liên quan

Implant “Giá Rẻ”: Sự Thật Đáng Xấu Hổ Và Cái Bẫy Tâm Lý Trong Ngành Nha Khoa

Implant “Giá Rẻ”: Sự Thật Đáng Xấu Hổ Và Cái Bẫy Tâm Lý Trong Ngành Nha Khoa

10/03/2026

Trong hành trình đi tìm lại nụ cười, điều gì khiến bạn lo lắng nhất? Với nhiều người, đó là chi phí. Đánh vào tâm lý này, “ma trận” quảng cáo tại Việt Nam đang xuất hiện những con số không tưởng: Trồng răng Implant chỉ 2 triệu, 4 triệu đồng… Tại Nha Khoa Vàng, […]

Giữa “Ma Trận” Implant: Sự Khác Biệt Thực Sự Là Gì Và Bạn Nên Chọn Loại Nào?

Giữa “Ma Trận” Implant: Sự Khác Biệt Thực Sự Là Gì Và Bạn Nên Chọn Loại Nào?

10/03/2026

Khi tìm hiểu về việc trồng răng Implant, chắc hẳn bạn đã từng choáng ngợp trước hàng loạt bảng giá và tên gọi các loại trụ từ khắp nơi trên thế giới. Tại sao cùng là một trụ Titanium đặt vào xương hàm mà lại có sự khác biệt về giá lên đến hàng chục […]

Làm Inlay/Onlay Có Đau Không? So Sánh Trải Nghiệm Với Mài Răng Bọc Sứ

Làm Inlay/Onlay Có Đau Không? So Sánh Trải Nghiệm Với Mài Răng Bọc Sứ

10/01/2026

“Sợ đau” là rào cản lớn nhất khiến nhiều người trì hoãn việc điều trị răng miệng. Khi bác sĩ tư vấn làm Inlay hay Onlay, câu hỏi đầu tiên xuất hiện trong đầu bệnh nhân thường là: “Liệu nó có đau như mài răng bọc sứ không?”. Tại Nha Khoa Vàng, chúng tôi hiểu […]

Làm Inlay/Onlay Có Phải Mài Răng Không? Sự Thật Về “Xâm Lấn Tối Thiểu”

Làm Inlay/Onlay Có Phải Mài Răng Không? Sự Thật Về “Xâm Lấn Tối Thiểu”

10/01/2026

Trong nha khoa thẩm mỹ và phục hồi hiện đại, cụm từ “xâm lấn tối thiểu” đang trở thành một từ khóa được săn đón. Tuy nhiên, điều này thường dẫn đến một hiểu lầm phổ biến: Nhiều bệnh nhân cho rằng làm Inlay hay Onlay là hoàn toàn không cần mài răng. Tại Nha […]

08.3399.5679